 |
|
図1 カテーテルと造影剤を使用した直接動脈造影検査です。矢印は左鎖骨下動脈を示しています。動脈の様子が良くわかりますが検査には造影剤の使用と大型撮影装置などが必要です。 |
|
|
 |
|
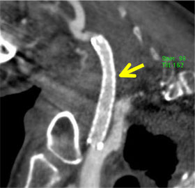
図2 CTによる動脈の描出です。頸動脈とその動脈に留置されているステント(矢印)と呼ばれる狭くなった内腔を拡げるバネが明瞭に描出されています。しかしこの検査も直接動脈検査と同様に大型機械や造影剤を必要としますし放射線被曝があります。 |
|
|
 |
|
図3 健康な方の核磁気共鳴を利用した脳血管のMRAです。造影剤を使用せず明瞭に脳の動脈が描出されています。磁気共鳴現象を利用していますので放射線被曝の心配は全くありません。ただし直接動脈造影やCT検査と同様に大型MR撮影装置が必要です。 |
|
|
 |
|
図4 高血圧で投薬治療を受けている70歳代、女性の超音波検査による頸動脈の観察です。真ん中の黒い部分が動脈の内腔です。矢印の部分がIMTと呼ばれる動脈壁の内側の部分でこの患者さんのIMTは0.6mmでした。計測上は正常範囲内であり脳梗塞発症のリスクは少ないものと推測されます。 |
|
|
 |
|
図5 糖尿病、高血圧がある80歳代、女性の患者さんです。矢印のように所々にIMTの肥厚が見られます。計測上は2.2mmで、動脈硬化があるものと診断されます。ただし比較的安定したプラークと考えられ脳梗塞の発症リスクは低いものと推測されます。頸動脈超音波検査では広い範囲の観察は困難ですが、ほぼ侵襲性なしに動脈壁の詳細な観察が可能です。 |
|
|